Was ist Parodontose? Ursachen, Symptome und Behandlung der Zahnfleischerkrankung
Was ist Parodontitis (Parodontose)?
Bei einer Parodontitis, umgangssprachlich Parodontose genannt, handelt es sich um eine durch Bakterien verursachte Entzündung des Zahnhalteapparates. Die Bakterien bilden im Zuge verschiedener Stoffwechselprozesse Säuren und Giftstoffe, welche Zähne und Zahnfleisch angreifen und Entzündungen auslösen können.
Unbehandelt breitet sich eine Zahnfleischentzündung (Gingivitis) immer weiter aus und befällt schließlich den Zahnhalteapparat, der unter anderem Bindegewebe, Zahnfleisch und Kieferknochen umfasst und den Zahn mit dem Kieferknochen verbindet. Das kranke Zahnfleisch bildet sich zurück, Knochensubstanz des Kiefers geht verloren. Der Zahn lockert sich und kann ausfallen. Gelangen die auslösenden Bakterien in die Blutbahn des Patienten, sind schwere Komplikationen möglich, darunter Entzündungen des Herzens.
Parodontose-Symptome: Parodontitis erkennen
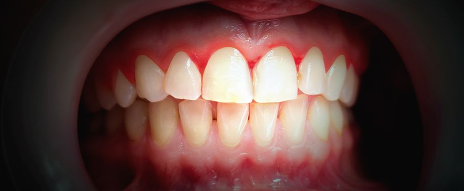
Zu Beginn verursacht eine Parodontose meist keine Beschwerden. Sie ist schmerzfrei und nicht mit Einschränkungen für den Betroffenen verbunden. Zu den frühen Parodontose-Symptomen gehören:
- Zahnfleischbluten
- gerötetes Zahnfleisch
- geschwollenes Zahnfleisch
- empfindliches Zahnfleisch
- empfindliche Zahnhälse
- Mundgeruch
Im weiteren Verlauf der Zahnfleischerkrankung löst sich aufgrund der Entzündungsreaktionen das Zahnfleisch vom Zahn und es bilden sich sogenannte Zahnfleischtaschen. Diese Hohlräume können bis zu einem Zentimeter tief werden und bieten Bakterien optimale Bedingungen – zumal auch Essensreste in die Taschen gelangen können.
Unbehandelt bildet sich das Zahnfleisch immer weiter zurück. Im fortgeschrittenen Verlauf einer Parodontose werden die Zahnhälse sichtbar. Die Zähne wirken länger und werden zunehmend schmerzempfindlich. Die Blutungen nehmen zu. Es ist möglich, dass sich entzündetes Sekret aus den Zahnfleischtaschen entleert. Die Zähne verlieren zunehmend an Halt. Zahnverschiebungen und Zahnverlust drohen. Manchmal, in sehr schweren Verläufen einer Parodontitis, ist eine Knochentransplantation unumgänglich.
Parodontose-Ursache: Was Parodontitis auslöst
Der Hauptrisikofaktor für Parodontose ist Zahnbelag, auch Plaque oder Biofilm genannt. Im Zahnbelag siedeln sich parodontosefördernde Bakterien an. Je gründlicher die Zahnhygiene ist und je weniger Plaque an den Zähnen haftet, desto geringer ist das Parodontose-Risiko.
Da der Körper ebenfalls versucht, die Bakterien zu bekämpfen, umschließt er mit Hilfe des im Speichel befindlichen Kalks länger bestehende Zahnbeläge und Zahnstein entsteht. Da dessen Oberfläche allerdings rau und uneben ist, bietet Zahnstein eine zusätzliche Vermehrungsplattform für Bakterien. Da Zahnstein nicht mit Hilfe einer Zahnbürste gelöst werden kann, entfernt der Zahnarzt den Zahnstein im Rahmen der jährlichen gesetzlichen Vorsorgeuntersuchungen. Neben Zahnbelägen gibt es noch weitere bedeutende Parodontose-Ursachen.
Individuelle Anfälligkeit
Parodontose tritt familiär gehäuft auf. Unklar ist bislang, ob genetische Faktoren die Entstehung begünstigen oder ob es die in den jeweiligen Familien gelebte Mundhygiene ist, welche das Risiko für die Zahnfleischerkrankung begünstigt.
Rauchen
Tabakrauch enthält Giftstoffe, welche die Vermehrung der Bakterien fördern, Entzündungsreaktionen verstärken und die Durchblutung des Zahnfleisches vermindern. Doch ohne eine gesunde Durchblutung können Zähne und Zahnfleisch nicht richtig versorgt werden. Auch das körpereigene Abwehrsystem kann nur bedingt handeln. Etwa 70 Prozent aller Parodontose-Patienten sind Raucher. Raucher haben ein fünf- bis sechsfach höheres Parodontose-Risiko als Nichtraucher.
Stoffwechselerkrankungen
Diabetes mellitus, Rheumatoide Arthritis und andere Stoffwechselerkrankungen erhöhen das Parodontose-Risiko.
Hormonelle Veränderungen
Hormonschwankungen, wie sie beispielsweise in der Schwangerschaft auftreten, begünstigen Parodontose. Da das Zahnfleisch in dieser Zeit oftmals zudem empfindlich ist, erschwert das eine gründliche Mundhygiene.
Wer kann eine Parodontitis behandeln?
Der Zahnarzt ist bei Verdacht auf Parodontose die erste Anlaufstelle. Viele Zahnärzte haben sich auf die Behandlung einer Parodontose spezialisiert und tragen die Bezeichnung Parodontologe. Der Schwerpunkt der Parodontose-Behandlung liegt auf der Beseitigung der Zahnbeläge und der Bakterienherde auf Zähnen, in Zahnfleischtaschen und in Zahnfleischfurchen. Bestehende Entzündungen werden behandelt. Bei schweren Verläufen wird die Gabe eines Antibiotikums notwendig. Die Behandlung wird in der Regel unter örtlicher Betäubung durchgeführt.
Wie aufwendig die Zahnreinigung ausfällt, ist abhängig vom Stadium der Parodontose. Ist die Entzündung stark fortgeschritten, kann sogar ein chirurgischer Eingriff nötig sein. Bei der sogenannten „offenen Behandlung“ werden die Zahnfleischränder vom Zahn gelöst und alle Beläge sowie krankes und abgestorbenes Gewebe entfernt. Bei einer sehr ausgeprägten Parodontose kann es trotz einer Behandlung sein, dass Zähne verloren gehen.
Die richtige Mundpflege nach der Parodontose-Behandlung
Der erste Schritt der Parodontose-Behandlung ist die Entfernung der Zahnbeläge und Bakterienherde. Ist das dem Zahnarzt gelungen, kommt es auf eine gute Mundhygiene an, um eine Neubesiedelung sowie die Neubildung von Zahnbelägen zu verhindern. Eine gute Zahnpflegeroutine ist zudem das A und O, um der Entstehung einer Parodontose vorzubeugen. Gründliches Zähneputzen sowie die Anwendung von Zahnseide sowie kleinen Bürstchen für die Zahnzwischenräume (Interdentalbürstchen, Zahnzischenraumbürsten) ist unverzichtbar.
Desinfizierende medizinische Mundspüllösungen sowie ein Zungenschaber können die Mundhygiene ergänzen. Die Anwendung von Mundspüllösungen sollte mit dem Zahnarzt besprochen werden. Von einer dauerhaften Anwendung ist meist abzuraten, da die Lösungen auch die guten Bakterien im Mund beeinflussen. Das ist beispielsweise bei apothekenpflichtige Mundspülungen mit dem Wirkstoff Chlorhexidin der Fall. Zudem haben sie einige Nebenwirkungen.
Auch regelmäßige Kontrollen beim Zahnarzt sind wichtig. Zweimal im Jahr zahlen die gesetzlichen Krankenkassen die Zahn- und Zahnfleischkontrolle. Alle zwei Jahre haben gesetzlich Krankenversicherte Anspruch auf eine spezielle Parodontitis-Untersuchung, auch Parodontaler Screening Index (PSI) genannt. Bei dieser Untersuchung wird das gesamte Gebiss Zahn für Zahn mithilfe eines speziellen Instruments (Parodontalsonde) auf Zahnfleischtaschen überprüft.
Zudem erfasst der Zahnarzt die Zahnfleischtaschentiefe. Einmal im Jahr entfernt der Zahnarzt zudem Zahnstein. Die Kosten für eine professionelle Zahnreinigung (PZR) müssen Patienten selbst bezahlen. Die Behandlung kostet zwischen 80 und 100 Euro.
Ist eine Parodontose heilbar?
Ohne Behandlung heilt die Parodontose nicht aus. Auch mit einer guten Behandlung bleibt das Entzündungsrisiko erhöht. Die Zahnfleischerkrankung Parodontose ist eine chronische Erkrankung, die sich mit einer guten Mundpflege zwar stoppen, nicht aber heilen lässt. Je ausgeprägter die Erkrankung bei der Diagnose ist, desto schwieriger ist es, die Entzündung in den Griff zu bekommen und desto mehr Aufwand muss betrieben werden, um zukünftigen Entzündungen vorzubeugen. Bereits bestehende Schäden am Zahnhalteapparat können nicht wieder rückgängig gemacht werden.
Was kostet die Parodontose-Behandlung beim Zahnarzt?
Wie viel der Patient für die Parodontose-Behandlung selbst zahlen muss, ist von Fall zu Fall unterschiedlich und sollte mit dem behandelnden Zahnarzt oder Parodontologen vor Beginn der Behandlung besprochen werden. Damit die gesetzlichen Kassen die Kosten oder Teilkosten übernehmen, muss vor Behandlungsbeginn ein schriftlicher Antrag gestellt werden, „Heil- und Kostenplan“ genannt. Dieser wird vom Zahnarzt verfasst und muss vom Patienten zur Prüfung und Genehmigung bei der Krankenkasse eingereicht werden.
Die Kosten einer professionellen Zahnreinigung vor der Behandlung sowie die Nachsorge der Therapie muss der Patient in der Regel selbst tragen. Andere Vorbehandlungen wie Karies- und Wurzelbehandlungen übernehmen die Kassen in der Regel. Da sowohl die Leistungen der Krankenkassen als auch die Parodontose-Behandlung unterschiedlich ausfallen, sollten Patienten immer das Gespräch mit Zahnarzt und der Krankenkasse suchen, damit sie wissen, welche Behandlungen und Kosten auf sie zukommen.
