Hämorrhagischer Schlaganfall: Die Blutung im Gehirn
Was passiert bei einem hämorrhagischen Schlaganfall?
Ärzte unterscheiden zwei Formen des hämorrhagischen Schlaganfalls - je nachdem, wo das Blutgefäß platzt:
- Die Subarachnoidalblutung: Sie entsteht, wenn Gefäße zwischen der innersten und der mittleren Hirnhaut zerreißen und Blut in den Zwischenraum - den sogenannten Subarachnoidalraum - austritt.
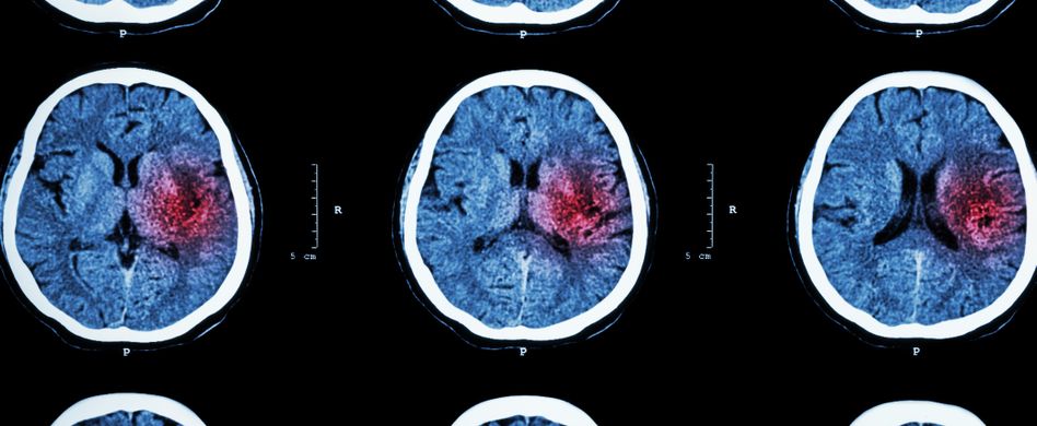
- Die Hirnblutung: Sie entsteht, wenn Blutgefäße direkt im Gehirn platzen und Blut ins Gehirn austritt.
Bei beiden Formen werden Teile des Gehirns schlechter mit Sauerstoff und Nährstoffen versorgt, was verschiedene Symptome wie Lähmungen, Taubheitsgefühle sowie Sprach- oder Sehstörungen hervorrufen kann. Zusätzlich drückt das austretende Blut auf das umliegende Nervengewebe und kann dieses schädigen. Bei der Subarachnoidalblutung kann es zudem zu Krämpfen kommen, die weitere Schlaganfälle auslösen.
Ursachen eines hämorrhagischen Schlaganfalls
Ein hämorrhagischer Schlaganfall kann unterschiedliche Ursachen haben. Zum einen können Stürze, Unfälle oder andere Kopfverletzungen dazu führen, dass ein Blutgefäß im Gehirn reißt. Zum anderen gibt es auch angeborene Fehlbildungen und Aussackungen der Blutgefäße (Aneurysmen), die einen Schlaganfall auslösen können. Auch eine Entzündung im Gehirn kann ein Blutgefäß platzen lassen. Lang anhaltender hoher oder plötzlich ansteigender Blutdruck kann ebenfalls zu einem Schlaganfall führen.
Risikofaktoren: So beugen Sie vor
Einige Menschen haben von Geburt an fehlgebildete Blutgefäße im Gehirn. Auch Ausstülpungen der Blutgefäße (Aneurysmen) können angeboren sein. Betroffene haben ein erhöhtes Risiko, einen Schlaganfall zu erleiden. Allerdings wissen sie oft nichts von der Fehlbildung. Der größte Risikofaktor für eine Gehirnblutung ist Bluthochdruck. Störungen der Blutgerinnung oder die Überdosierung von gerinnungshemmenden Medikamenten erhöhen ebenfalls das Risiko für einen hämorrhagischen Schlaganfall.
Wer seine Blutdruckwerte sowie sein Gewicht im Blick behält, sich regelmäßig bewegt und nicht raucht, senkt das Risiko für einen Schlaganfall. Nach einer Kopfverletzung oder einem Sturz sollten Sie sich von einem Arzt untersuchen lassen, um eine Gehirnblutung auszuschließen oder frühzeitig zu erkennen.
Symptome und Folgen einer Hirnblutung
Die Symptome und Anzeichen einer Hirnblutung sind die gleichen wie bei einem ischämischen Schlaganfall. Dies sind insbesondere:
- Taubheitsgefühle und Lähmungen in Gesicht, Armen oder Beinen
- Sprach- oder Verständnisstörungen
- Sehstörungen
- Schwindel, Gleichgewichtsstörungen und Bewusstlosigkeit
Zusätzlich kann es bei einem hämorrhagischen Schlaganfall zu schlagartig einsetzenden, extrem starken Kopfschmerzen kommen. Bei all diesen Symptomen sollten Sie nicht zögern, sondern sofort den Notruf 112 wählen.
Je nachdem, wie schnell die Behandlung erfolgt und wie stark das Gehirn geschädigt wird, können einige Symptome dauerhaft bestehen bleiben.
Behandlung des hämorrhagischen Schlaganfalls
Eine leichte Blutung im Gehirn hört in der Regel von selbst wieder auf. Dennoch ist es nötig, diesen Prozess zu überwachen und im Notfall den Druck im Gehirn zu senken, um Folgeschäden zu verhindern. Starke Blutungen müssen gegebenenfalls operativ gestoppt werden - beispielsweise bei einem Aneurysma. Ist der Druck im Gehirn gefährlich hoch, kann ebenfalls eine Operation nötig sein. Am besten sind Betroffene in einer speziellen Stroke Unit aufgehoben, die auf die Behandlung von Schlaganfällen spezialisiert sind.
